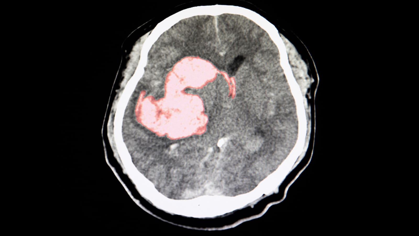
Triple Pill Gets Intracerebral Hemorrhage Survivors Closer to BP Goals

(MedPage Today) -- Additional antihypertensive treatment with a three-drug polypill benefitted patients after intracerebral hemorrhage (ICH), the placebo-controlled TRIDENT trial found. Among ICH survivors already on good background therapy randomized...
Source
MedPage Today
Opens original article in a new tab



